More Of Just The Same Infected

What Is Herd Immunity And Can It Stop The Coronavirus Mit Technology Review

Even Asymptomatic People Carry The Coronavirus In High Amounts The New York Times

Infected Mushroom Whiteno1se More Of Just The Same Youtube

Infected Mushroom Whiteno1se More Of Just The Same Original Mix Full Quality

Coronavirus Facts Myths And Information Your Questions Answered

What We Need To Understand About Asymptomatic Carriers If We Re Going To Beat Coronavirus
Ani Mevushal is a collaboration between Infected Mushroom and BLiSS, released on January , , and featured on the former's More Than Just a Name.

More of just the same infected. Freedom Bill (6:13) 8. Users who like Infected Mushroom & WHITENO1SE - More Of Just The Same;. Users who like Infected Mushroom & WHITENO1SE - More Of Just The Same.
Infected Mushroom and Bliss - Ani Mevushal 4. Typically, a person develops symptoms anywhere from 1 to 4 days after infection. More of Just the Same (Original Mix) by Infected Mushroom, WHITENO1SE on Beatport.
Bill - Freedom Bill 8. Boom🤙🏻 T08:26:15Z Comment by Boloroo 💥 T22:07:47Z Comment by Boloroo 🔥 T22:07:38Z Buy Infected Mushroom & WHITENO1SE - More Of Just The Same. HALF of children may be immune to COVID-19 despite never being infected because their antibodies for the common cold neutralise the virus – but just 5% of adults have them.
Tens of thousands of new cases are reported daily nationwide. Track #1, 'More of just the same' is the opener of the album, a. Infected Mushroom and WHITENO1SE - More of Just the Same 2.
Posted by 5 days ago. More of just the same. Home of all things Infected Mushroom.
Both currently reside in Los Angeles. It was released on March 23,. The art for this LP contains references to previous Infected Mushroom projects.
V • t • e Infected Mushroom (Discography) Songs. Or more of just the same?. Solo aquí te ofrecemos la oportunidad de escuchar música online, y después descargarla con total seguridad, frenando que tu computadora de escritorio o teléfono, se infecte de troyanos.
More of Just the Same Original Mix. They keep the sounds moving all the time. Unfortunately we don't have the lyrics for the song "More of Just the Same" yet.
We have a large team of moderators working on this day and night. Listen to More of Just the Same by Infected Mushroom - More than Just a Name. Have had confirmed coronavirus infections and more than 230,000 have died of COVID-19.
Appears in playlists Head bobbing by Wandering Charmander published on T15:19:23Z Monstercat Uncaged Vol. Users who reposted Infected Mushroom & WHITENO1SE - More Of Just The Same. Both Infected Mushroom and BLiSS have mentioned in live shows that the name came from.
9 as well as Infected Mushroom’s More Of Just The Same LP. Caused by any of several different types and strains of influenza viruses.Different strains circulate each year. Infected Mushroom & WHITENO1SE - More Of Just The Same by Monstercat published on T16:44:42Z.
Only Solutions Original Mix. Freedom Bill’s title is a reference to Freedom Fighters' first word in their alias and Mr. More of just the same 10x Say you chose again A different story, different way Will you find your happiness?.
We at LetsSingIt do our best to provide all songs with lyrics. Were diagnosed with Covid-19 last week — more than in any other week during the pandemic, the American Academy of Pediatrics and the Children's Hospital. Écoutez More of Just the Same par Infected Mushroom - More than Just a Name.
No Line in MIDI 6. All current shows have been cancelled or postponed to ensure our community remains safe in the current situation. It was featured on Monstercat Uncaged Vol.
An estimated 1.7% of the population surveyed in the State had both IgG antibodies and active infection at the same time.Giridhar R. More of Just the Same is full of details, subtle changes, infectious beats, dance-inducing synth riffs and glitchy sound evolutions. Por fin terminas de encontrar Infected Mushroom Whiteno1se More Of Just The Same.Pero por si fuera poco, te hallas a nada de descargar mp3 gratis de alta calidad como no ofrecen otras paginas.
На этой странице вы можете скачать песню Infected Mushroom - More Of Just The Same бесплатно на мобильный телефон, смартфон, планшет или компьютер.Также вы можете слушать песню онлайн в хорошем качестве mp3. More of Just The Same Lyrics:. Http://bit.ly/2pcVWPA HELP ME on Tipeee :.
They skilfully play with tension, constantly building and releasing it. Caused by the 19 coronavirus, also known as SARS-CoV-2. Слушать онлайн Infected Mushroom, WHITENO1SE - More of Just the Same без регистрации.
Many people infected with the coronavirus do not feel sick or have any symptoms at all, but they can still transmit the coronavirus to other people. Hey Vegetarion converters, My first live IM experience starts in an hour in Hamburg and I'm pretty excited. Only Solutions (5:21) 3.
The Scottish Government has confirmed that more than 100 people are battling coronavirus in ICU – while 39 more Scots have died from Covid-19 overnight. The study reveals, for the first time, the genetic sequence of the virus that may have infected Mr. The ransomware campaign was unprecedented in scale according to Europol, which estimates that around 0,000 computers were infected across 150 countries.
More than 19% of people in the same household as a COVID-19 patient, or nearly 1 in 5, can expect to develop the infection. More Of Just The Same is a track by Infected Mushroom & WHITENO1SE, featured on the former's More Than Just a Name LP. Infected Mushroom & WHITENO1SE - More of Just the Same download mp4, Infected Mushroom & WHITENO1SE - More of Just the Same موسيقى, Infected Mushroom & WHITENO1SE - More of Just the Same تحميل.
Emma McGann) by Monstercat published on T15:41:16Z. Users who like Infected Mushroom & WHITENO1SE - More Of Just The Same. More of just the same 6x Of just the same ?x More of just, just More of just the same ?x.
More than Just a Name. Infected Mushroom, Freedom Fighters and Mr. Symphonatic Infected Mushroom & Astrix Remix.
/ More of just the same / More of just the same. Trump and dozens of others, researchers said.That genome is a crucial clue that may allow. Originally formed as a duo by Erez Aizen (also known as I.Zen) and Amit Duvdevani (also known as Duvdev), in Haifa, Israel.
The same problem occurs with tracking flu infections, but scientists have more data. If a person has COVID-19, it could take them longer to develop symptoms than if they had flu. / Or more of just the same?.
"The Gathering" (1999), "Classical Mushroom" (00), "B.P. Découvrez plus de 56 millions de titres, créez et écoutez vos propres playlists et partagez vos titres préférés avec vos amis. Tune in for Infected Mushroom - Best of OLDSCHOOL Mix.
One of the largest agencies struck by the attack was the National Health Service hospitals in England and Scotland, and up to 70,000. For the ones who wished to be there. In the next couple of days we'll be dropping track-by-track from our new album.
This was an interesting place to find the new CV vinyl. Infected Mushroom is an electronic music group. No Line in MIDI (6:59) 6.
Artists Infected Mushroom, WHITENO1SE. More than 61,000 children in the U.S. Lyrics have now been added to the subtitles.
The far-left tank contains the entity from their on-label collaboration with BLiSS, Ani Mevushal. My Infected Mushroom collection (Brisbane, AU) 48. Infected Mushroom is known for their consistent sonic evolution exemplified by the following albums:.
Posted by 5 days ago. The total of those infected by the bug. More than 9 million people in the U.S.
Say you chose again / A different story, different way / Will you find your happiness?. More of just the same. T14:09:56Z Comment by titomann.
More than Just a Name is Infected Mushroom's sophomore Monstercat album release. We have added the song to our site without lyrics so that you can listen to it and tell others what you think of it. COVID-19 and the Flu Cause.
I'm not 100% sure on the ones for Symphonatic, if you have any better ideas. Ani Mevushal (8:51) 4. More of Just the Same (7:09) 2.
Скачать музыку Infected Mushroom, WHITENO1SE - More of Just the Same в mp3, Размер:. Symphonatic (Infected Mushroom Astrix Remix) (8:26) 5. Discover more than 56 million tracks, create your own playlists, and share your favourite tracks with your friends.
More of Just the Same by Infected Mushroom, WHITENO1SE, released 04 June. More of Just the Same Original Mix. Infected Mushroom, SpaceNoize & Vertical Mode - Infected Megamix by Monstercat published on T16:04:27Z Protostar - Overdrive (feat.
9 by Maarten Stam published on T19:06:41Z. Today's new Infected Mushroom album!. More of Just the Same by Infected Mushroom and WHITENO1SE, released 23 March.
According to Kaspersky Lab, the four most affected countries were Russia, Ukraine, India and Taiwan. Symphonatic (Infected Mushroom & Astrix Remix) 5. Musique en streaming gratuite.
Babu, member, State’s Technical Advisory Committee (TAC), who. Right here man, just crazy. For both COVID-19 and flu, 1 or more days can pass between a person becoming infected and when he or she starts to experience illness symptoms.
Or more of just the same?. Many cases of SARS-CoV-2 infection are asymptomatic or may be unreported due to a shortage of testing. Only Solutions Original Mix.
Ani Mevushal roughly translates to "I'm cooked" in Hebrew. They break things when they start to become familiar. More than Just a Name by Infected Mushroom, released 23 March 1.
No Line in MIDI Original Mix.

Monstercat Musical Visionaries Infected Take Us On A Journey Beyond Known Reality With The More Than Just A Name Album Launching With Imwhiteno1se Collab More Of Just The Same Out

Why Are Some People So Much More Infectious Than Others The New York Times

New Album Dropping Soon Infectedmushroom
/cdn.vox-cdn.com/uploads/chorus_asset/file/19867320/11more_things.jpg)
Coronavirus Pandemic Covid 19 Testing Death Rates And Risk Factors Explained Vox

Infected Mushroom Whiteno1se More Of Just The Same Monstercat Lp Release Youtube

Why Are Some People So Much More Infectious Than Others The New York Times

Infected Mushroom So Excited To Be Back In Australia For More Of Just The Same Amazing Times

How Long Will I Be Sick If I Catch Coronavirus Elemental

Why Are Some People So Much More Infectious Than Others The New York Times

Coronavirus Reinfections Three Questions Scientists Are Asking

Why Are Some People So Much More Infectious Than Others The New York Times

Experts Answer Your Covid 19 Questions What Is The Likelihood That My Friend Could Be Infected Again With Coronavirus Coronavirus Tribdem Com

Flu Coronavirus Or Allergies How To Tell The Difference Cnn

More Of Just The Same Monstercat Wiki Fandom
Infected Mushroom 1 More Of Just The Same Facebook

More Of Just The Same From Ministry Last Night Infectedmushroom

Coronavirus The First Three Months As It Happened

More Of Just The Same By Infected Mushroom And Whiteno1se On Amazon Music Amazon Com

Infected Mushroom Whiteno1se More Of Just The Same Monstercat Lp Release Youtube
Infected Mushroom More Of Just The Same Dj Sunkeeperz Rework Sunkeeperz
4 Ways Shingles Is More Than Just Adult Chickenpox Penn Medicine

Coronavirus How To Safely Take Care Of Someone Sick With Covid 19

Infected Mushroom Whiteno1se More Of Just The Same Psytrance
Nekrogoblikon Check Out Our Not On Tour Playlist On Facebook

Infected Mushroom Whiteno1se More Of Just The Same Original Mix Full Quality

More Of Just The Same By Infected Mushroom And Whiteno1se On Amazon Music Amazon Com

First Denial Then Fear Covid 19 Patients In Their Own Words Wired

Infected Mushroom Live Brisbane Half Wild Underground Electronic Music Culture

More Than A Pet Their Family

What Are The Main Modes Of Transmission For Covid 19 Live Science

Opinion We Re Reading The Coronavirus Numbers Wrong The New York Times

Infected Mushroom Whiteno1se More Of Just The Same Youtube

My First Music Visualization In Unity3d Kipod By Infected Mushroom Infectedmushroom

Coronavirus How To Safely Take Care Of Someone Sick With Covid 19
Infected Mushroom More Than Just A Name Web Enrich Scnlog Me

How Likely Are You To Be Infected By The Coronavirus On A Flight New Scientist
:max_bytes(150000):strip_icc()/VirusIllustration-59ce8c1303f4020011702d0a.jpg)
Communicable Vs Infectious Diseases

Infected Mushroom Wikipedia

Here S How Covid 19 Compares To Past Outbreaks

Wuhan Rounds Up The Infected As Death Toll In China Jumps The New York Times

What Do We Know About Children And Coronavirus Transmission Kff

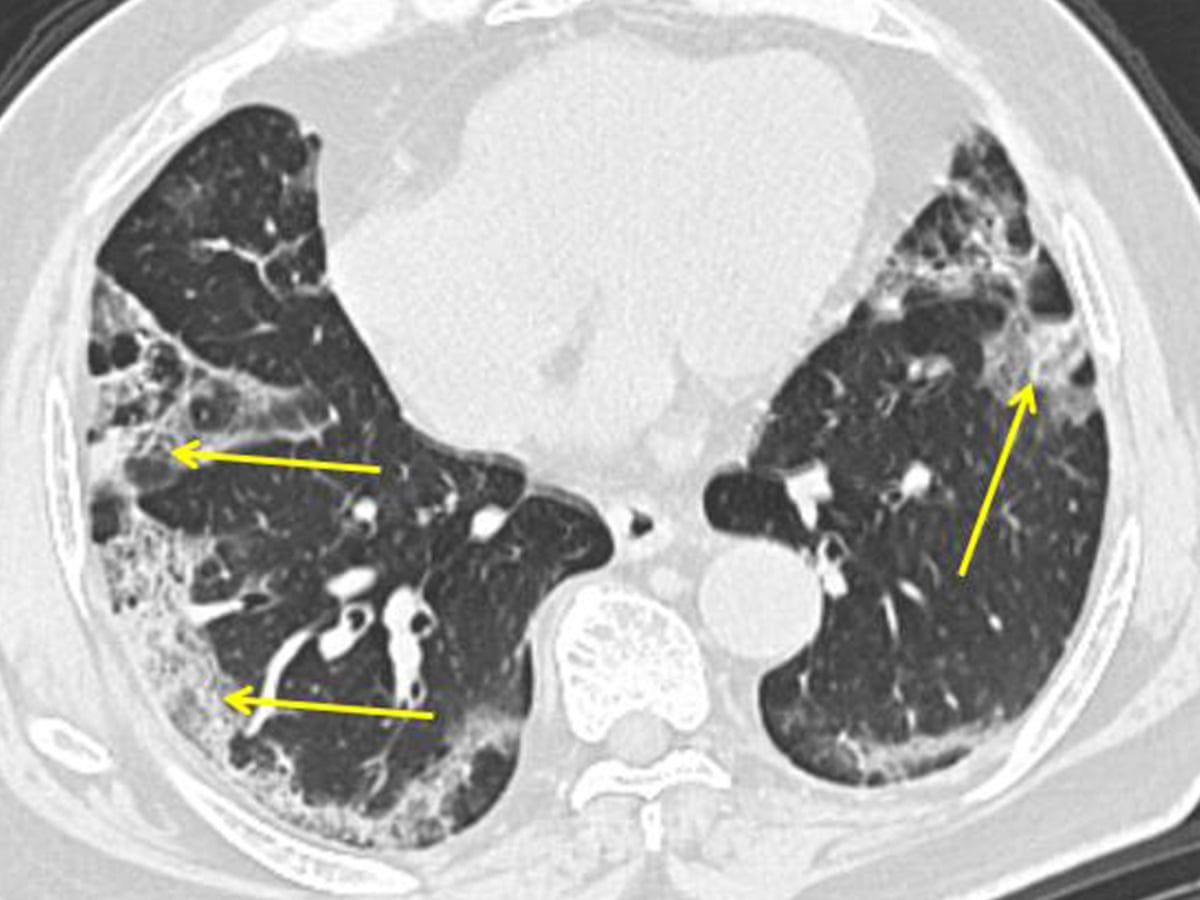
What Happens To People S Lungs When They Get Coronavirus World News The Guardian

Got The Opportunity To See Infected Mushroom At Ministry Of Sound Last Night Here S A Clip Of More Of Just The Same Monstercat

Infected Mushroom S Website Reveals An Expanded Artwork For More Than Just A Name Infectedmushroom

Nuprime Hi Mdac Review Headfonia Reviews

Beastsaber
Infected Mushroom 1 More Of Just The Same Facebook
Infected Mushroom 1 More Of Just The Same Facebook

Infected Mushroom More Of Just The Same Skachat Mp3 I Slushat Onlajn Mp3

Living With Someone Who Has Covid 19 Here S How To Stay Healthy Shots Health News Npr

Infected Mushroom Whiteno1se More Of Just The Same Youtube

Find Out If You Have A Coronavirus In Just Seconds While Sitting At Home Newscrab

Everyone Infected With Covid Has One Thing In Common Fauci Says

How Do You Get Coronavirus Los Angeles Times

More Of Just The Same From Ministry Last Night Infectedmushroom
Infected Mushroom Wikipedia

Mv Infected Mushroom Whiteno1se More Of Just The Same 哔哩哔哩 つロ干杯 Bilibili
Q Tbn 3aand9gcq Wbbtnv28yvh8g5cxbjcrbi3z6jft1nomu9rkify Usqp Cau

Songs Like More Of Just The Same Infected Mushroom Whiteno1se Edm Hunters

Why The Pandemic Is So Bad In America The Atlantic
Infected Mushroom Music Updates Home Facebook

Djoctjulio On Scratch

All The Ways You Can And Can T Catch The Coronavirus Popular Science
Influenza Might Be Spread Simply By Breathing Study Finds

New Infected Mushroom Album Coming Out On Monstercat Soon Monstercat

Infected Mushroom Whiteno1se More Of Just The Same Coub The Biggest Video Meme Platform

Virus Wikipedia

Wuhan Rounds Up The Infected As Death Toll In China Jumps The New York Times

Surfaces Vs Airborne What We Know Now About Covid 19 Transmission Elemental

What Is Tick Borne Disease Ticked Off Mast Cells
Jeenge Song By Infected Mushroom Spotify

How Coronaviruses Cause Infection From Colds To Deadly Pneumonia Scientific American

Ai Predicts Coronavirus Could Infect 2 5 Billion And Kill 53 Million Doctors Say That S Not Credible And Here S Why

The Pandemic Doesn T Have To Be This Confusing The Atlantic

What We Need To Understand About Asymptomatic Carriers If We Re Going To Beat Coronavirus

Beat Saber More Of Just The Same Infected Mushroom Mapped By Interz Youtube

Infected Mushroom Whiteno1se More Of Just The Same Youtube

Infected Mushroom Wikipedia

The Coronavirus Mostly Spares Younger Children Teens Aren T So Lucky The New York Times
West African Ebola Victims Were More Likely To Survive If Also Infected With Malaria Study Finds Los Angeles Times

Infected Mushroom More Than Just A Name Minimix Youtube

More Than Half Of Us States Broke Records In Daily Covid 19 Cases This Month Now Hospitals Brace For An Onslaught Healthy Aging Tucson Com

More Of Just The Same Infected Mushroom Last Fm

More Than A Hundred Coronavirus Infected Afu Personnel Sent From Donbass To Kharkiv

Aciditea These Days The Most Common Story I Get To Hear Is So And So Person Got Infected You Ask How They Say That No Idea Infected Are Mostly Elderly

Infected Mushroom Whiteno1se More Of Just The Same Monstercat Youtube

Infected Mushroom Whiteno1se More Of Just The Same Monstercat Uncaged 哔哩哔哩 つロ干杯 Bilibili

Your Most Pressing Questions About The New Coronavirus Answered Science News

Top 10 Most Dangerous And Destructive Cyber Viruses Of All Time

Seven Months Later What We Know And Don T Know About Covid 19

Not Just The Lungs Covid 19 Attacks Like No Other Respiratory Virus Stat

Monsterarcher Monsterarcheryt Twitter

Kiran Added More Of Just The Same By Infected Mushroom Whiteno1se To My Musing Playlist On Spotify T Co Atyl2bhy1k T Co Lgnw7gspjz

Coronavirus What To Know Symptoms Face Mask Vaccine How To Prepare

Coronavirus Immunity Can You Catch It Twice c News